Dental Crowns and Bridges Gallery
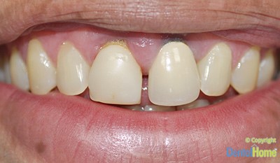
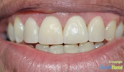
Dental crowns and fixed bridges are some of the most widely used procedures in dentistry to have a complete 360° cover of a broken tooth
Go to the Dental Crowns and Bridges service page


Before
After


Before
After


Before
After


Before
After


Before
After


Before
After


Before
After
