

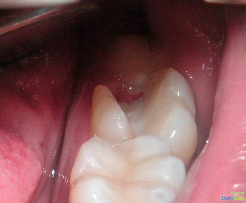
Before
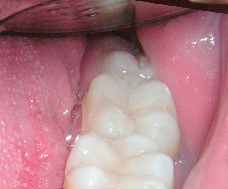
After
Inlays are a technique that is performed to repair teeth that are damaged by fractures, dental filling or decay that leaves a weakened tooth structure, ie: a large loss of dental tissue that does not allow for the use of conventional resin.
Sometimes these inlays can restore the tooth without a crown. Materials that may be used include: resin, ceramic and/or metal (gold).
