Transformamos tu sonrisa,
Transformamos tu vida
Encanta con tu diseño de sonrisa
Conocemos la importancia de tu Sonrisa
En la Clínica Dental Home contamos con un grupo de especialistas expertos en diseño de sonrisa en medellín que harán posible que el aspecto de tu sonrisa mejore para lograr el impacto que siempre has querido tener.
Te brindamos asesorías continuas, partimos de un diagnóstico de tu salud oral hasta lograr lo que esperas y sueñas de un tratamiento de diseño de sonrisa en Medellín.
¿Porqué Elegirnos?
Calidad y Compromiso
- Siempre buscaremos que el tratamiento que elijas sea el más adecuado para tí.
- Te explicamos claramente cada paso, resolviendo cualquier duda que surja.
- Que te sientas con tranquilidad y confianza siempre es nuestro objetivo. Así, nuestro acompañamiento comienza desde la planeación, la ejecución y el seguimiento posterior a tu visita.
Sonrisa Perfecta
- Para nosotros el diseño de sonrisa es un arte, es brindar armonía, belleza y confianza, te brindamos seguridad, mejoramos tu salud y te regalamos una hermosa sonrisa que refleje una apariencia fresca, hermosa y atractiva.
- Creemos en unasonrisa natural que logra una armonía con el conjunto de tu rostro, atendiendo siempre la importancia de tu salud dental en el largo plazo.
Alta Tecnología
- Gracias a los avances en la tecnología y en los materiales dentales, hoy podemos ofrecerte los mejores métodos, la mejor calidad y los mejores resultados en menos tiempo.
- Logramos una máxima protección de tu dentadura a través de métodos que no te desgastan tus dientes, incluso llegando a reparar procedimientos externos que no hayan sido realizados con la técnica adecuada
Testimonios de Diseños de Sonrisa

Juan Esteban Araque
DJ Zonaprieta
Medellín
La calidad humana acompañada de un excelente servicio, hacen de la clínica Dental Home el lugar indicado para cuidar mi sonrisa. 100% recomendado.

María Teresa Lizcano
Empleada Medellín Después de buscar y evaluar muchas opciones en clínicas odontológicas para el servicio de diseño de sonrisa en Medellín, decidí escoger la clínica Dental Home por su experiencia, por las técnicas utilizadas y por la vocación que reflejan sus profesionales. Me siento feliz y agradecida por haberles confiado mi sonrisa a tan excelentes y maravillosos profesionales. Felicitaciones por la pasión y gentileza con la que trabajan y mil gracias por sus servicios y buena atención, realmente esto los hace ser unos de los mejores.

Juan Esteban Giraldo
Ingeniero de sistemas
Medellín
Antes era muy tímido y no me sentía bien con mi sonrisa, después del diseño de sonrisa que me realice en Dental Home, siento mayor confianza y ahora me encuentro muy satisfecho con mi sonrisa, el diseño se ve muy natural y puedo sonreír sin timidez.

Marcela Hernández
Muy satisfecha y feliz con mi tratamiento de ortodoncia y diseño de sonrisa.Gracias por la atención de todo el personal de Dental Home y en especial a los doctores Carlos Mario Velásquez y Carlos Mario Betancourt. Recomendadísimos por su profesionalismo.
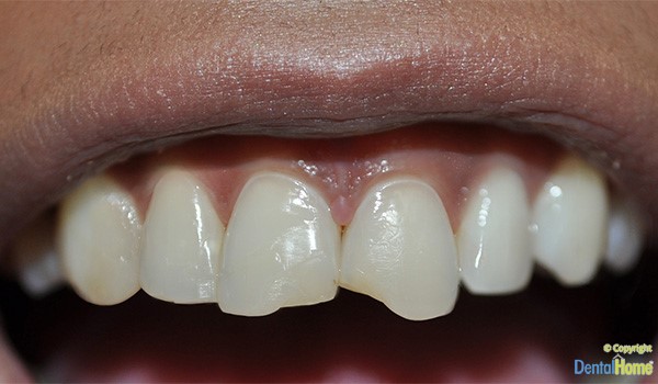
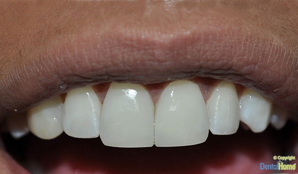
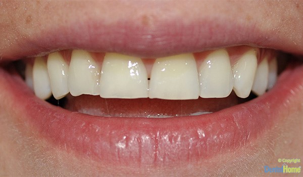
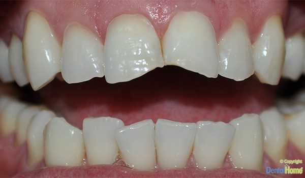
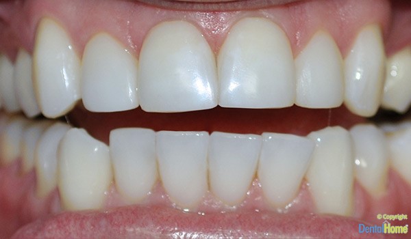
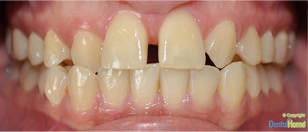
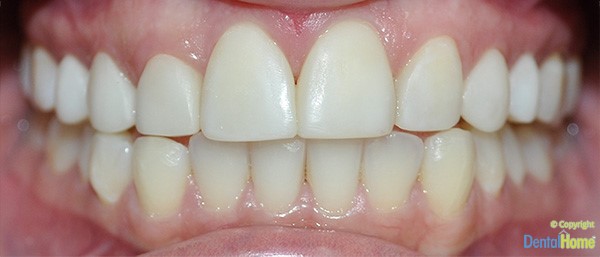
Antes y despues del Diseño de Sonrisa:
Asómbrate con el cambio










¡Pregunta aquí por tu
Diseño de Sonrisa!
¿Cuál es el proceso de un diseño de sonrisa?
En Dental Home siempre te informaremos acerca de los procedimientos que más te convienen.
Algunas de las etapas de un diseño de sonrisa son:
1. La valoración
Es importante para determinar los objetivos del tratamiento y evaluar las expectativas. Ésta valoración se realiza a través de un examen clínico, pruebas radiográficas (panorámicas y un mock-up) y unas tomas fotográficas.
2. Definir objetivos del diseño de sonrisa:
Se realiza una exploración de las imágenes por computador en donde se observan las modificaciones de frente y de perfil y los posibles resultados. Una vez se visualicen los posibles resultados se definen los objetivos de nuestro diseño de sonrisa.
3. La ortodoncia
Sólo en algunos casos el primer paso es la ortodoncia, donde el especialista corrige las anomalías de forma, posición, relación y función de las estructuras dentales mediante los brackets, que se fijan directamente a la superficie de los dientes. El odontólogo manipula una serie de fuerzas que lentamente corrigen la mala posición dentaria. Existe la posibilidad de realizar pequeños movimientos dentales a través de placas transparentes, lo cual puede tomar un tiempo aproximado de 2 meses (sin necesidad de realizarse ortodoncia).
4. Aplicación del Diseño de Sonrisa:
Luego se eligen la tecnología más adecuada para tí, esta puede ser con carillas dentales (carillas en resina de nano partículas) o lentes de contacto dental creando uno de los mejores diseños de sonrisa en medellin
5. Blanqueamiento dental:
Blanquear o aclarar los dientes es el toque final de un tratamiento de diseño de sonrisa. Es un paso realmente importante porque permite aclarar los dientes y darles una apariencia más clara y brillante, brindando resultados estéticos más agradables para el paciente de forma rápida y fácil. Existen casos en donde el blanqueamiento dental puede omitirse.
Preguntas frecuentes
¿El diseño de sonrisa desgasta o daña los dientes?
No, desde hace muchos años se realizan procedimientos estéticos que mejoran la apariencia de una sonrisa. Sin embargo, solo hasta hace poco se han implementado técnicas y materiales que permiten maquillar los dientes y obtener una sonrisa natural, hermosa y saludable sin desgastar el esmalte dental.
Muchos pacientes nos visitan con esta pregunta y con temor de realizarse un procedimiento de diseño de sonrisa en medellin y han podido comprobar que sus dientes no son desgastados
¿Cuánto cuesta un diseño de sonrisa en Medellín?
Siempre que quieres iniciar un tratamiento de diseño de sonrisa te haces la misma pregunta ¿cuánto cuesta un diseño de sonrisa en Medellín? Pues bien, en clínica Dental Home lo primero que hacemos cuando nuestros pacientes nos visitan es asesorarlos en temas de precios.
Para comenzar a medir los costos de un tratamiento en diseño de sonrisa lo primero es entender que es muy importante realizar una radiografía panorámica para que el especialista pueda realizar un diagnóstico y hacer un análisis clínico del estado de tu sonrisa.
Luego de la revisión por radiografía el especialista en estética evalúa la situación de cada diente de modo que se pueda establecer con qué tipo de tratamiento se avanza. Una vez se realiza este análisis se le presenta al paciente un presupuesto específico por el tratamiento.
Algunos problemas en los dientes pueden ser tratados con lentes o carilla, el paciente es quien decide de qué forma hacer el tratamiento y a través de qué método ser tratado para su diseño de sonrisa.
El costo de un tratamiento de diseño de sonrisa en medellin depende directamente del estado de nuestros dientes y del material que elijamos, si tenemos muy pocos dientes con dificultad, el costo de nuestro tratamiento será inferior a si por el contrario muchos de nuestros dientes no se encuentran en buen estado.
Es importante entender que un diseño de sonrisa tiene un final feliz cuando se trata de manera comprometida cada aspecto importante del tratamiento.
¡CONTÁCTANOS!
Consigue la sonrisa que quieres
Llama ahora, escríbe a whatsapp o envía tu mensaje
Escríbenos
