La endodoncia en medellin es el tratamiento relacionado con la pulpa dental (nervio) y la raíz. Cuando se presenta el daño a este tejido por caries, fracturas o traumas se pueden producir complicaciones como dolor agudo, abscesos dentales, quistes, reabsorciones y sensibilidad extrema.
Dental home te ofrece servicio de endodoncia para que tu salud oral sea mejor.
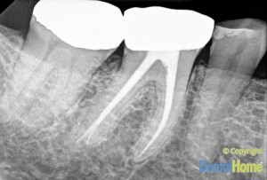
Esto requiere una limpieza y desinfección del conducto radicular realizando un llenado con un producto llamado gutapercha.

En Dental Home somos expertos en endodoncia en Medellín
La endodoncia se realiza para que el diente no pase del color blanco al negro, no vuelva a doler y se eliminen bacterias que puedan afectar el hueso posteriormente.

Preguntas Frecuentes
¿Cuándo debo visitar un endodoncista?
El dolor dental es el síntoma principal por el que acuden los pacientes al odontólogo, el dolor puede variar desde ligero a insoportable dándose el caso de aumentar ante el frío o el calor, puede aparecer de manera espontánea sin que haya estímulos externos, o ante estímulos térmicos o químicos. Puede ser intermitente y pulsátil, con períodos sin dolor o continuo.
Si presenta alguno o varios de los síntomas descritos, puede que usted tenga una inflamación del nervio de sus dientes y debe ser tratado en Dental Home por uno de nuestros endodoncistas, que usará la mejor tecnología para que en cuestión de minutos pueda realizarle un procedimiento que alivie su dolor.
Si usted presenta un diente con cambio de color ya sea que sufrió un golpe y nunca fue tratado, o que le hayan realizado una endodoncia y luego de realizado el procedimiento cambió el color de su diente, lo invitamos a que visite los especialistas de Dental Home para que le brindemos la correcta asesoría de cómo podemos mejorar y devolver el color a su diente, y lo mejor es que lo hacemos sin dolor.
¿Las personas que se realizan tratamiento de conductos (endodoncia) pueden blanquearse los dientes?
Los dientes con tratamiento de conductos muchas veces presentan cambios de color poniéndose negros, amarillos o azules. En Dental Home utilizamos una técnica especial con la que podemos devolverles el color natural a los dientes. A este procedimiento se le llama blanqueamiento no vital.this text in the module Advanced settings.

