Blanqueamiento dental con cubetas en Medellín
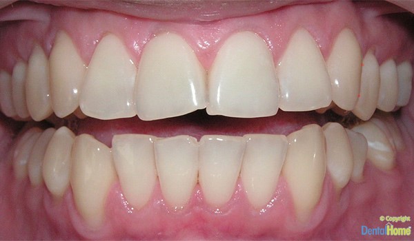
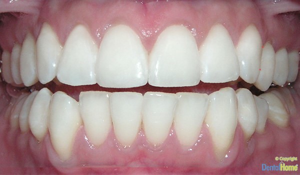
El blanqueamiento dental con cubetas es el método tradicional para blanquear los dientes. Se realiza en dos semanas y requiere de visitas al consultorio odontológico para verificar el proceso, brindar indicaciones y evaluar el aclaramiento.
¿Que ténica se aplica para el Blaqueamiento con cubetas en Dental Home?
Para el blanqueamiento dental con cubetas, debido a que son dientes amarillos o que presentan manchas, se usa una fórmula patentada con ACP (Amorphous Calcium Phosphate) que reduce la sensibilidad y no desgasta sus dientes.



Antes
Después
¡CONTÁCTANOS!
Consigue la sonrisa que quieres
Llama ahora, escríbe a whatsapp o envía tu mensaje
Escríbenos

