Escríbenos a: info@clinicadentalhome.net

Limpieza dental – Higiene oral

Con el servicio de limpieza dental en Medellín Dental Home provee un conjunto de actividades preventivas de higiene oral que buscan:

  • Mantener la salud oral y disminuir la presencia de enfermedades en la boca.
  • Prevenir la formación de caries.
  • Evitar enfermedades de las encías y de los tejidos que soportan los dientes.

Nuestros equipos de alta tecnología con ultrasonido, le brindan al paciente la posibilidad de sentir un increíble confort en el proceso de limpieza dental y bucal, sin maltratar sus encías.

Además de sentir una superficie totalmente lisa, nuestra técnica desarrollada por las higienistas de Dental Home, proporciona un barrido más profundo y una sensación totalmente agradable y fresca en sus dientes.

¿Cuánto cuesta la limpieza dental con ultrasonido?

El valor de la limpieza dental es de $213.000 pesos.

Tratamientos complementarios de limpieza dental en medellin

Adicionalmente, realizamos:

  • Tratamientos de control y remoción de placa bacteriana (profilaxis).
  • Remoción de cálculos (detartraje con ultrasonido).
  • Aplicación de flúor y sellantes.
  • Y al mismo tiempo le brindamos los últimos tips de limpieza dental en medellin para el cuidado de su sonrisa desde casa.

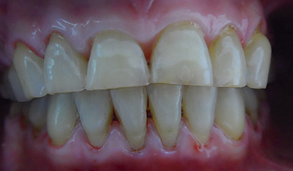
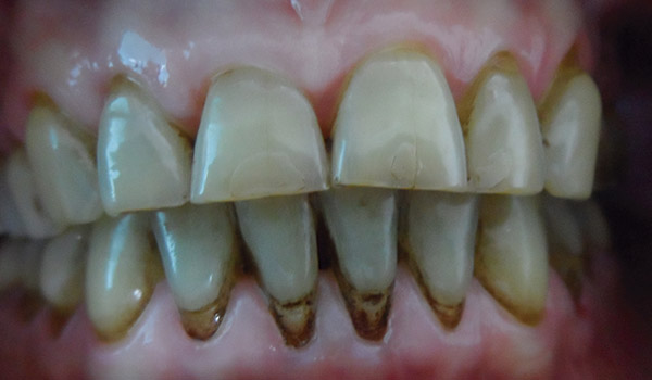
Ejemplo Antes y Después de Limpieza Dental

Caso higiene-oral-medellin. Antes de la limpieza dental
Caso higiene oral medellin. Después de la limpieza dental
Antes
Después

¡CONTÁCTANOS!

Consigue la sonrisa que quieres

Llama ahora, escríbe a whatsapp o envía tu mensaje

(+57) 310 419 4654

Escríbenos

    He leído y acepto la autorización de tratamiento de datos personales