¿Qué es la Periodoncia?
La periodoncia es la especialidad que estudia la prevención, diagnóstico y tratamiento de las enfermedades y condiciones que afectan los tejidos que dan soporte a las piezas dentarias o las estructuras y substitutos implantados, velando por la salud del paciente, así como por la adecuada función esto basado en tener una estética de dental.
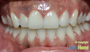
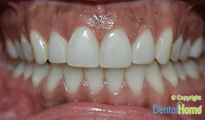
Las encías juegan un papel muy importante en la estética dental, en algunos casos sólo con mejorarlas podemos tener un diseño de sonrisa espectacular. Para realizar diseño de sonrisa en las encías usamos un electrobisturí, que nos permite contornear (como una cirugía plástica), adelgazar y mejorar la apariencia de la encía, obteniendo una sonrisa hermosa.

¿Qué es la periodontitis?
La periodontitis es una de las enfermedades bucales más frecuentes y una de las mayores causas de pérdida de dientes. Esta se da por la formación de unas bolsas de placa dental entre el diente y la encía, generando una inflamación que hace que la encía poco a poco se separe del diente.
Por su parte, el hueso donde se asienta el diente se erosiona por la infección, el diente se afloja y termina cayéndose. No suele doler, por lo que el paciente no acude al odontólogo hasta que los dientes se mueven y en este punto ya resulta muy difícil salvarlos.
Por ello, cuando note inflamación, sangrado, o excesiva sensibilidad en las encías consúltenos. Gracias a la periodoncia usted puede mantener sanas sus encías y demás tejidos de su boca.


Preguntas frecuentes
¿Cuándo debo visitar un periodoncista, para recibir asesorias en estética dental?
Algunos pacientes relatan que al cepillarse los dientes sale sangre por sus encías y lo clasifican como “algo normal”.
La realidad es que si observan situaciones como:
- Encías que tienen una coloración roja.
- Presenta pus entre dientes y encías.
- Con frecuencia tiene mal aliento.
- Hay sangrado al cepillarse.
- Inexplicablemente sus dientes se están separando entre sí, se aflojan sus dientes o incluso se caen sin haberlos extraído.
Todos estos pueden ser síntomas de estar con algún tipo de enfermedad periodontal y es necesario acudir a Dental Home para que nuestro periodoncista lo evalúe y realice el mejor tratamiento de estetica dental acorde con su caso.

