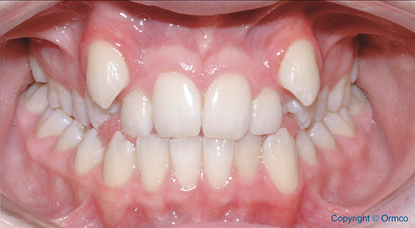
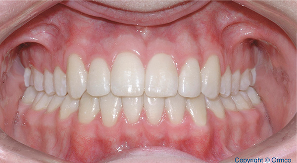
Galería Ortodoncia
En Dental Home le ofrecemos una de las mejores técnicas de ortodoncia en Colombia para que su salud oral, facial y su sonrisa se encuentren en perfecto equilibrio.
Ir a página del servicio de Ortodoncia
Galería Ortodoncia con Brackets


Galería Ortodoncia con Alineadores Invisibles
Corrige la posición de tus dientes de forma discreta y cómoda con alineadores transparentes removibles, sin brackets ni molestias. ¡Sonríe con confianza desde el primer día!
Ir a página del servicio de Ortodoncia con alineadores dentales



